Shoulder dislocation
anterior
| Anatomy | |
| Mechanism | |
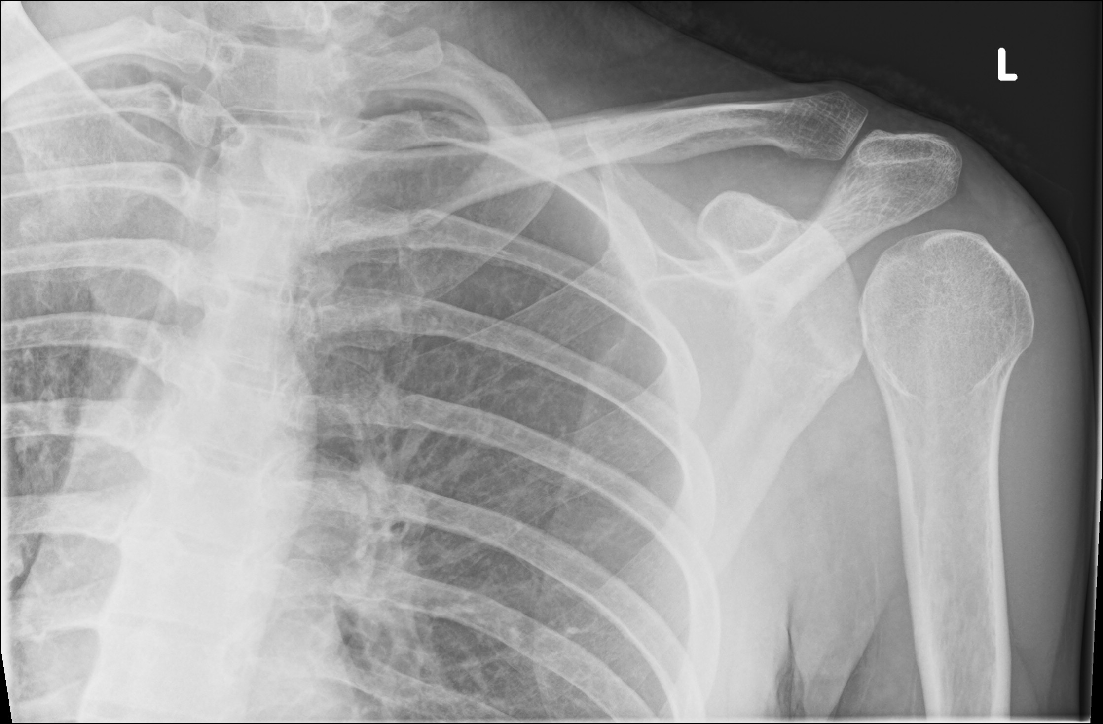
| Diagnostic investigations | XR appearance: humeral head lying anteroinferior to glenoid |
| Initial management | See below: whichever method you like |
| Ongoing management |
Source: https://radiopaedia.org/cases/anterior-shoulder-dislocation-26?lang=gb
https://radiopaedia.org/cases/anterior-shoulder-dislocation-37?lang=gb
posterior
| much more rare | |
|---|---|
| Anatomy | humeral head is forced posteriorly in internal rotation while the arm is abducted |
| Mechanism | Classically Electrical injury or Seizure |
| Diagnostic investigations | XR appearance: 'lightbulb' Ddx: Inferior subluxation of humeral head |
| Initial management | Usually more difficult to reduce |
| Ongoing management |
Case courtesy of Ian Bickle, Radiopaedia.org, rID: 74689
https://radiopaedia.org/cases/posterior-shoulder-dislocation-28
complications
hill sachs defect
- anatomy: depressed fracture of humeral head
bankhart lesion
- anatomy: anterioinferior aspect of glenoid (or labrum?)
- contributes to anterior instability
- usually comes in a set with Hill-Sachs defect
reduction
There are dozens of methods.
https://pmc.ncbi.nlm.nih.gov/articles/PMC5154590/ Alkaduhimi et al 2016 lists 23!!
Dislocation in patients with recurrent dislocations may not require XR before reduction

